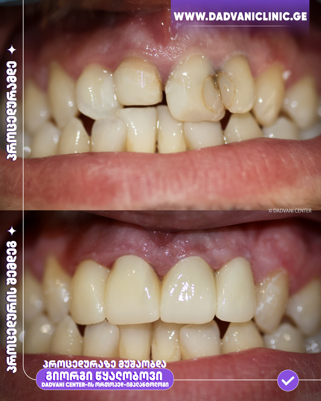
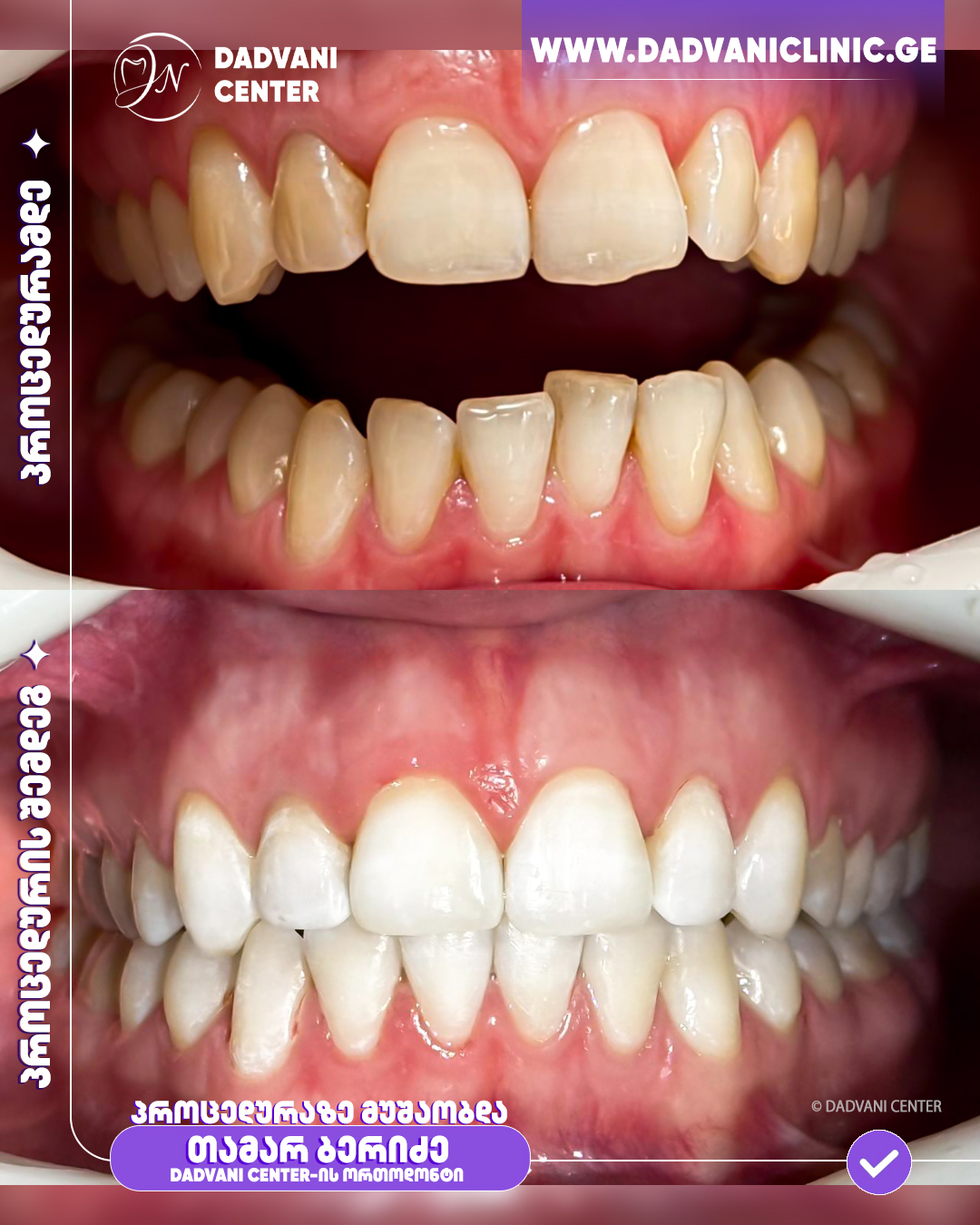
ღიმილის გალერეა / SMILE GALLERY

კლინიკური ქეისები, რომლებზეც ჩვენი ექსპერტები მუშაობდნენ

DADVANI CENTER ©️ ყველა უფლება დაცულია